Implantatprothetik in Hannover
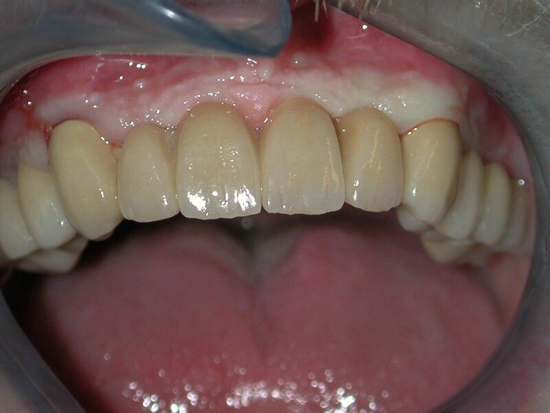
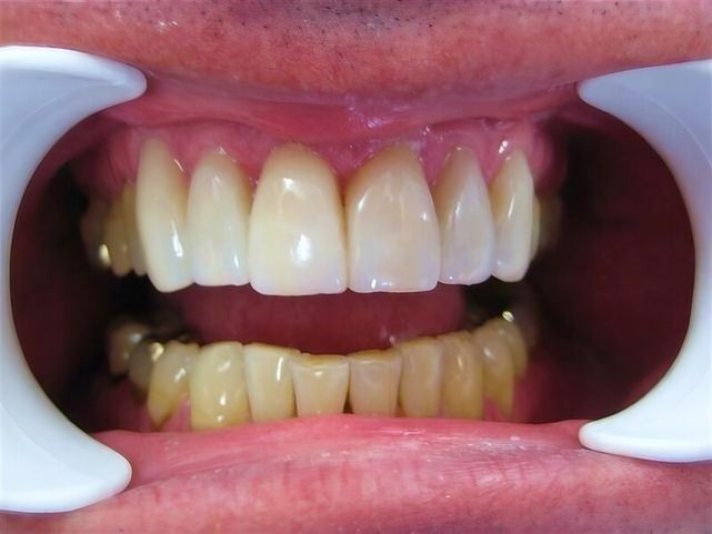
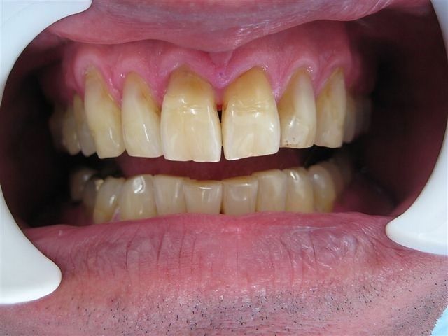
Die Implantatprothetik ist ebenso wie die Implantologie ein vergleichsweise neues Gebiet der Zahnmedizin. Die Bedeutung nimmt jedoch stetig zu, da immer weniger Patienten bereit sind , gesunde Zähne abschleifen zu lassen oder sich über unkomfortable Prothesen zu ärgern. Durch das Setzen eines Implantates kann erreicht werden, dass der Verlust eines Zahnes für einen Außenstehenden nicht zu erkennen ist. Insbesondere dann, wenn auch das Zahnfleisch gute Voraussetzungen bietet, werden beste Ergebnisse möglich. Die modernen Implantate werden mit ihrem Außengewinde so tief mit einem Drehmomentschlüssel eingedreht, bis sie deutlich unter dem Zahnfleisch liegen. Die Implantatprothetische Krone kann somit ideal gestaltet werden.
Voraussetzung für eine Implantatprothetik
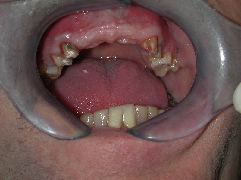
Um überhaupt ein Implantat einsetzen zu können, muss der Kieferknochen groß und auch stark genug sein, um das Implantat optimal und vor allem langjährig halten zu können. Bei Zahnarzt Hannover Dental analysieren wir daher zuerst, ob das Knochenangebot ausreichend ist oder ob ein zusätzlicher Aufbau im Sinne einer Rekonstruktion nötig ist. Um diese Analyse umzusetzen, arbeiten wir mit Röntgenaufnahmen und untersuchen den Knochen auch manuell palpatorisch. Mit Hilfe dieser beiden Varianten können wir ein eindeutiges darüber Ergebnis erhalten, unter welchen Voraussetzungen implantiert werden kann und ob eine Implantatprothetik sinnvoll ist. Sollte dies nach der Untersuchung nicht der Fall sein, können wir für einen Aufbau des Knochens sorgen.
In der Implantatprothetik mus außerordentlich präzise gearbeitet werden, weil schon geringste Passungenauigkeiten dazu führen, dass der Ersatz nicht verwendbar ist. Passungenauigkeiten würden zu einer übermäßigen dauerhaften Belastung der Implantate führen und könnten sogar zu Implantatverlust führen.
Ursachen für einen Zahnverlust
Es gibt verschiedene Ursachen, die zu einem Zahnverlust führen können. Diese Ursachen können nicht nur Krankheiten sein, sondern auch Unfälle oder genetische Faktoren. Mittlerweile hat sich die Zahnmedizin aber so weit entwickelt, dass der Verlust eines Zahnes oder mehrerer Zähne durch durch Zahnersatz, der auf künstlichen Zahnwurzeln verankert ist, den sogenannten Implantaten, ausgeglichen werden kann. Das Gebiet der Implantatprothetik beschreibt die Vorsorgung von Zahnersatz auf Implantaten als Ersatz für einen natürlichen Zahn, der verloren gegangen ist oder entfernt wurde. In der Implantatprothetik werden die Implantate auch als künstliche Zahnwurzeln bezeichnet und bieten eine hochwertige Möglichkeit der Wiederherstellung der Kaufunktion.
Bei Zahnarzt Hannover Dental erhalten Sie die Möglichkeit einer umfassenden Beratung zu dem Fachgebiet der Implantatprothetik sowie eine individuelle Versorgung. Da wir nicht nur in der Implantatprothetik spezialisiert sind, können wir Ihnen auch bei weiteren Fragen in der Zahnmedizin mit Rat und Tat zur Seite stehen. Dieses umfangreiche Spektrum an Leistungen unterscheidet uns von unseren Kollegen, da wir Ihnen Behandlungen aus verschiedenen Gebieten der modernen Zahnmedizin aus einer Hand bieten können und wir Sie als Patient aus Hannover fast nie überweisen müssen. Wünschen Sie weitere Informationen zu dem Bereich der Implantatprothetik? Vereinbaren Sie gerne einen Beratungstermin bei uns.
FAQ
Qualität - ein Wichtiges Merkmal
Die Bedeutung von Qualität in der Implantatologie
Um ein dauerhaftes Ergebnis garantieren zu können, setzten wir von Zahnarzt Hannover Dental in der Implantatprothetik auf hochwertige Implantate und eine sehr hohe Präzision der prothetischen Teile. Des Weiteren ist aber auch ein kompetenter und erfahrener Implantologe von größter Wichtigkeit, um diesen komplexen Prozess fehlerfrei durchzuführen.
Außerdem ist es von Bedeutung, dass für jeden Patienten individuell das passende Implantat ausgewählt wird und es perfekt positioniert und mit hohem Drehmoment eingesetzt wird. Um die richtige Größe des Implantates auszuwählen, analysieren wir von Zahnarzt Hannover Dental Röntgenbilder und untersuchen den Kieferknochen zusätzlich direkt nach dem Aufklappen des Zahnfleisches. Ein Merkmal für die Auswahl des Implantates ist auch die Breite und auch Unterschnitte des Knochens, was genau untersucht werden muss. Die Röntgenübersichtsaufnahme oder auch digitale, dentale Volumentomographie unterstützten den Operateur bei der Diagnose und Planung. Die dentale Volumentomographie bedeutet aber für den Patienten mehr Kosten und natürlich auch eine zusätzliche Strahlenbelastung. Wir empfehlen ihnen diese Vorgehensweise auch nur in dem Fall, wenn beispielsweise eine präzise Analyse der Nervenstruktur im Knochen nötig ist.
Unsere Vorteile
Die Vorteile unserer Praxis Zahnarzt Dr. Stefan Thomas Hannover
Die Implantatprothetik ist ein Spezialgebiet der zahnärztlichen Prothetik, was von den Zahnärzten gesondert im Rahmen von Fort- und Weiterbildungen erlernt werden muss. In unserer Praxis finden sie dazu zahlreiche Zertifikate, die Dr. Thomas neben anderen auch den Tätigkeitsschwerpunkt Implantologie bescheinigt. Die Implantatprothetik ist Bestandteil der Implantologie. Ein wichtiger Aspekt für unsere Kompetenzen ist neben langjähriger Erfahrung auch der fachliche Austausch mit unseren Kollegen.
Wir bieten Ihnen neben der Implantatprothetik noch weitere Behandlungen an. Hierzu eine Übersicht unserer Leistungen:
- CMD Therapie
- PZR
- Hochwertige Füllungen
- Six Month Smiles
- Kieferorthopädie
- Veneers
Wie oft wird behandelt?
Die Häufigkeit einer Behandlung in der Implantatprothetik
Implantatprothetik ist immer dann ein Thema, wenn ein Implantat mit irgendeiner Art von Zahnersatz versorgt werden soll. Selbstverständlich kann keine Angabe darüber gemacht werden, wie viele Implantate ein Mensch durchschnittlich in seinem Leben benötigt und wie oft er somit Implantatprothetik benötigt. Dies wird entscheidend von den individuellen Gegebenheiten und Wünschen jeder Person abhängig sein. Auch wenn Zahnverlust bei regelmäßiger Prophylaxe in unserer Praxis Zahnarzt Hannover Dental und gewissenhafter Zahnpflege 5 Mal seltener ist als bei Menschen, die auf diesem Gebiet eher nachlässig sind, kann es jedem Menschen dennoch passieren, dass er einen oder gar mehrere Zähne verliert.
Materialien und Hersteller
Die Materialien in der Implantatprothetik
Generell wird in der Implantatprothetik zwischen fest sitzendem Zahnersatz und bedingt herausnehmbaren Prothesen unterschieden. Der fest sitzende Zahnersatz in Form von Kronen und Brücken wird entweder auf dem Implantat zementiert oder aber verschraubt. Als Materialien haben sich Goldlegierungen, Nicht-Edelmetalllegierungen und Keramiken bewährt.
Als Varianten der Verbindung zwischen Prothese und Implantat beim bedingt herausnehmbaren Zahnersatz sind folgende zu nennen:
- Stegkonstruktionen
- Konuskronen
- Teleskopkronen
- Kugelknopfanker
- Locator
Für die Prothesen hat sich PMMA bewährt. Stege, Konuskronen, Teleskopkronen und Locatoren werden aus Metalllegierungen gefertigt.
Fall mehrere Implantate von ihrer Achsneigung ungünstig zu einander stehen, wird mit speziellen angulierten implantatprothetischen Abutments gearbeitet.
Hersteller in der Implantatprothetik
In der Implantatprothetik gibt es unterschiedlichste Hersteller. Diese sind unter anderem:
- Zimmer Dental
- Nobel-Biocare
- Straumann
- Dentsply Implants
Die Implantatprothetik mit MIMI
Der Produktname MIMI steht für „Minimal-invasive Methodik der Implantation“ und ist nicht einzig eine besondere Technik sondern auch der Name eines Herstellers. Das Besondere an MIMI in der Implantatologie ist der chirurgische Eingriff, der bei diesen Implantaten wesentlich geringer ausfällt im Gegensatz zu der herkömmlichen Implantologie. Durch den niedrigen Aufwand sind die Kosten auch nicht so hoch im Vergleich zu der aufwendigeren Implantation.
Mögliches Risiko
Risikofaktoren
Das größte Risiko könnte immer eine Unverträglichkeit des verwendeten Materials darstellen. Die von uns seit vielen Jahren verwendeten Materialien erweisen sich als sehr gut verträglich. So konnten wir bisher auf dem Gebiet der Implantatprothetik noch keine Materialunverträglichkeiten feststellen.
Ein sehr wichtiger Aspekt in der Implantatprothetik ist die Gestaltung der Konstruktion. Sie muss derart sein, dass eine gute Mundhygiene auch im Bereich der Implantate keinesfalls erschwert wird. Eine sogenannte Periimplantitis – eine Infektionen am Implantat kann ansonsten auftreten und eine ernste Gefahr für das Implantat darstellen. Die Symptome lassen sich dabei mit der Parodontitis vergleichen, bei der sich auch das Zahnfleisch entzündet und Schwellungen aufkommen. Da Sie als Patient von Zahnarzt Hannover Dental in jedem Fall über alle Risiken aufgeklärt sein sollten, bieten wir Ihnen vor einer Behandlung eine umfassende Beratung zu diesem Thema. Zu diesem Informationstermin gehört ebenfalls die Erläuterung der richtigen Zahnpflege an Ihrer Implantatprothetik.
Behandlungen im Ausland
Implantatprothetik im Ausland?
Wir selbst haben Patienten gesehen, bei denen sich im Ausland Implantate eingesetzt worden sind. Teilweise waren die Implantate zu klein oder nicht ausreichend belastbar oder sie waren sehr ungünstig positioniert. Beide Varianten sind fatal, weil unbrauchbar. Zwecks Reklamationsversuch muss der Patient leider wiederum ins Ausland fahren, womit der Preisvorteil aufgebraucht sein dürfte. Unnötige Schmerzen und eine überlange Behandlungszeit kommen noch hinzu. Oftmals erhalten Behandelte nach dem Eingriff keinen sogenannten Implantatpass, in dem das Datum der Operation sowie das verwendete Implantat dokumentiert werden. So haben wir als Nachbehandler große Schwierigkeiten dabei, eine richtige Folgebehandlung anzubieten oder bei Problemen helfen zu können, weil jede System oft eigene spezielle Instrumente benötigt. Da es mittlerweile auf dem Markt eine Vielzahl an Systemen in der Implantatprothetik gibt und keine Normung existiert, kann das zu nahezu unlösbaren Problemen führen.
Des Weiteren gibt es viele weitere Fehler, die in der Implantatprothetik gemacht werden können. Die Biomechanik muss genau beachtet und eingeplant werden. Hierzu zählen zum Beispiel zu klein gewählte Implantate in Relation zur Implantatprothetik. Es gibt folglich in diesem Bereich erhebliche Unterschiede in der Qualität der Behandlung und Umsetzung. Sollten Implantate tatsächlich so fehlerhaft eingesetzt worden sein, dass sie für ein lege artis Implantatprothetik unbrauchbar sind, müssen diese Implantate wieder zu entfernt werden. Da sie meist bereits in den Knochen eingewachsen sind, bleibt dann einzig das Herausfräsen des Implantates. Dabei tritt ein nicht unerheblicher Knochenverlust ein.
Leisten Krankenkassen einen Beitrag?
Kostenübernahme durch die Krankenkassen für die Implantatprothetik
Für Implantatprothetischen Zahnersatz erstattet die gesetzliche Krankenkasse einen Festzuschuss, der sich aus dem aktuellen Befund ergibt. Bei privat Versicherten ergibt sich die Höhe der Erstattung aus den Versicherungskonditionen.
